Згоден
Продовжуючи перегляд сайту, ви погоджуєтеся з тим, що ознайомилися з оновленою політикою конфіденційності та погоджуєтеся на використання файлів cookie.
Дніпро » Новини міста і регіону
Чт, 19 лютого 2026
19:55

НОВИНИ МІСТА І РЕГІОНУ

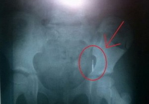
В Днепродзержинской поликлинике из-за ошибки стоматолога 5-летний ребенок проглотил сверло

В Днепродзержинской поликлинике из-за ошибки стоматолога 5-летний ребенок проглотил сверло
В городской левобережной поликлинике произошла ужасная ошибка детского врача-стоматолога Елены Савенко, сообщает Телеканал ТРК "МІС".

21 января пятилетняя Маша вместе с отцом пришла в поликлинику для пломбирования зуба. Из-за ошибки врача девочка проглотила стоматологическое сверло.

Врач сразу же направила девочку к лору, но тот ничего не обнаружил. Далее маленькую пациентку ждало рентгенологическое обследование. Стоматологическое сверло обнаружили в желудке малышки. Жизни Маши ничего не угрожает, уверяют врачи. Это сверло сделано из медицинского металла, поэтому никакого вреда ребенку не принесет. Врачи уверяют, что в течение 7-10 дней оно должно выйти самовольно. Мать девочки в панике, ведь по ее наблюдениям, сверло до сих пор находится в желудке ребенка. Если сверло не выйдет, то понадобится хирургическое вмешательство, а врач за свою ошибку понесет уголовную ответственность.

Gorod.dp.ua на Facebook.

Gorod.dp.ua не несе відповідальності за зміст опублікованих на сайті рецензій користувачів, тому що вони виражають думку користувачів і не є редакційним матеріалом.

Gorod`ской дозор | Обговорити тему на форумах | Розмістити оглошення

Інші новини:

ЗВЕРНИТЬ УВАГУ!
Популярні*:
 за коментарями | за переглядами
•  Пенсія не нижче 6000 гривень: міністр соцполітики розкрив деталі майбутньої реформи (8)

•  У Дніпрі патрульні перевіряють стан, наявність номерних знаків та їхню відповідність транспортним засобам (7)

•  По 8 годин без світла щодня: у Дніпрі люди скаржаться на зношені мережі та бездіяльність служб (6)

•  У Дніпрі запровадили єдиний короткий номер гарячої лінії міста — 1530 (6)

•  Кінець радянській «черзі на квартиру»: в Україні запрацює нова житлова система (5)

•  Дніпро придбає 15 нових сучасних тролейбусів за підтримки Європейського інвестиційного банку (3)

•  Перші провісники весни вже з’явилися на Монастирському остріві (2)

•  Директорка лікарні з Дніпра отримала штраф за хабарництво (2)

•  Офіс Генерального прокурора повернув державі дитсадок у центрі Дніпра (2)

•  У Дніпрі на Успенській площі планово обрізають дерева (1)


* - за 7 днів | за 30 днів | Докладніше
Цифра:
50
років тому почали будувати «свічки» на Перемозі.

Джерело
copyright © gorod.dp.ua
Всі права захищені. Використання матеріалів сайту можливо тільки з дозволу власника.

Про проект :: Реклама на сайті